El documento de consenso TASC II (Transatlantic Inter-Society Consensus for the Management of Peripheral Arterial Disease) se ocupa de aspectos de la revascularización en la EAP.
Según los criterios TASC, se pueden derivar opciones de tratamiento terapéutico en función de la longitud local del cierre/estenosis. La longitud de la estenosis y sus regiones de localización deciden la terapia: endovascular o cirugía vascular abierta.
Criterios TASC de oclusiones vasculares femoropoplíteas
Tipos | Morfología | Principio de terapia |
|---|---|---|
A | Estenosis única <5 cm de longitud, no al inicio de la AFS o en la A. poplítea distal, oclusión única <3 cm de longitud (no al inicio de la AFS o A. poplítea) | endovascular |
B | Estenosis única 5–10 cm de longitud, no en la A. poplítea distal, oclusión única 3–10 cm de longitud, no en la A. poplítea distal, estenosis calcificada <5 cm de longitud, lesiones múltiples <3 cm de longitud | endovascular |
C | Oclusión única 3–10 cm de longitud hasta la A. poplítea distal, lesiones focales múltiples 3–5 cm de longitud sin/con calcificación, estenosis/oclusión única >10 cm de longitud | reconstrucción abierta |
D | Oclusión completa de la AFC y/o AFS, oclusión completa de la A. poplítea y trifurcación, enfermedad difusa grave | reconstrucción abierta |
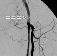
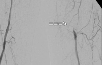
Ejemplo de vídeo: TASC C → reconstrucción abierta
EAP estadio IIb izquierda (distancia de marcha inferior a 100 m). La DSA preoperatoria muestra:
- una estenosis subtotal de la arteria femoral común
- una oclusión de largo recorrido de la arteria femoral superficial en el canal aductor
- oclusiones parciales de las arterias de la pierna inferior

