Anestesia por infiltración ingle derecha con Xylonest 1%. Palpación y punción de la arteria femoral común. Introducción de un alambre Terumo® a través de la cánula de punción.
-
Punción de la arteria femoral común derecha
-
Introducción de la vaina hasta el arco aórtico
-
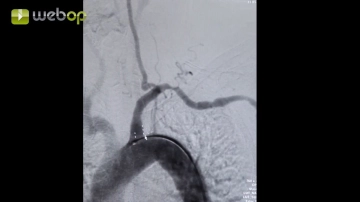
Angiografía
![Angiografía]()
Ajustes de sonido Representación de las ramas supraaórticas, en particular de la arteria subclavia izquierda. Marcado del origen de la arteria subclavia del arco aórtico así como de su estenosis.
Consejos:
1. Para una mejor representación de las ramas supraaórticas en pacientes despiertos, se debe hacer que el paciente respire profundamente primero, inhalando y exhalando, posteriormente se realiza la angiografía durante una pausa respiratoria.
2. El arco aórtico debe representarse anatómicamente correcto. Para ello, el arco en C debe posicionarse en LAO entre 30 y 50° (proyección LAO = left anterior oblique, posición oblicua anterior izquierda).
Bajo fluoroscopia, sondaje de la estenosis de la arteria subclavia mediante alambre Terumo®.Consejo
Activar ahora y seguir aprendiendo directamente.
Activación individual
Activación de este contenido didáctico durante 3 días.
Oferta más popular
webop - Ahorro flexible
Combine de forma flexible nuestros módulos de aprendizaje y ahorre hasta un 50%.
51,56 US$/ facturación anual
Cirugía Vascular
Todos los contenidos didácticos de este módulo se activan.
103,10 US$ / facturación anual


