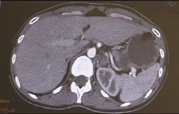
Imaging demonstrates a multinodular 5cm–6cm large cyst-like mass in the region of the left adrenal, clinically confirmed as pheochromocytoma.
-
CT findings
![CT findings]()
-
Trocar positioning
![Trocar positioning]()
Perform medial 2cm long minilaparotomy in left upper quadrant for the trocar of the laparoscope and then initiate pneumoperitoneum. After exploration of the abdominal cavity introduce two more working trocars – one 5mm trocar in the left upper quadrant and a Versa-Port V12 anterior to the 11thrib.
-
Freeing the descending colon
-
Opening the prerenal space
-
Dissecting the spleen off the diaphragm
-
Exposing the superior left retroperitoneum
Accessing the adrenal
Carefully lifting the pancreatic tail craniad access to the left adrenal is gained at the end of th
Carefully lifting the pancreatic tail craniad access to the left adrenal is gained at the end of th
Activate now and continue learning straight away.
Single Access
Activation of this course for 3 days.
US$9.30
inclusive VAT
Most popular offer
webop - Savings Flex
Combine our learning modules flexibly and save up to 50%.
from US$7.19 / module
US$86.33/ yearly payment
general and visceral surgery
Unlock all courses in this module.
US$14.38
/ month
US$172.70 / yearly payment





